Case 15
Before
After
Before-and-after photos showcasing the incredible transformation of severely worn teeth through a comprehensive full mouth reconstruction, supported by both natural teeth and implants. Dr. Soheili dedicated his efforts to achieving this remarkable outcome, ultimately leaving the patient delighted with their new smile.
Case 16
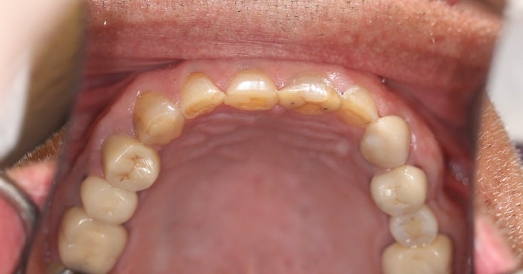
Before
After
Here we addressed a challenging case of severe tooth decay resulting from chronic, long-term dry mouth. The treatment involved the application of full-mouth porcelain crowns, effectively restoring the patient's oral health and smile.
Case 17
Before
After
This full mouth rehabilitation case involved correcting severe spacing between the front teeth and addressing extensively worn enamel. The process began with orthodontic treatment, followed by the application of full mouth porcelain crowns and veneers on the patient's natural teeth. The transformative result not only restored the patient's oral health but also restored the patient’s confidence in their smile.
Case 18
Before
After
Here is a case involving a patient affected by gum recession resulting in root exposure. This condition poses various risks, including heightened sensitivity and increased risk of tooth decay, ultimately compromising overall oral health. To address this, we performed a gum grafting procedure which successfully restored lost gum tissue and revitalized the patient's oral health.
Case 19
Before
After
This smile makeover targeted a specific condition known as the “black triangle,” which refers to the upper spacing between the two front teeth that creates the appearance of a black triangle. Dr. Soheili addressed this issue through gum plastic surgery, followed by the application of porcelain crowns and laminate veneers. Additionally, a previous faulty crown was corrected. The outcome is a vibrant and natural smile that beautifully complements this patient's appearance.
Case 20
Before
After
This wonderful young lady received treatment for gum overgrowth triggered by a medical condition. The correction of her gummy smile involved a combination of gum surgery and the application of full mouth porcelain crowns.
Case 21
Before
After
Case 21
Before
After
This patient came to us with significant wear and damage caused by severe bruxism, resulting in a retrograde tooth wear pattern. To restore his smile and functionality, we performed a full mouth reconstruction using both tooth and implant-supported monolithic zirconia crowns. The treatment involved altering the vertical dimension of occlusion and increasing the lower third of the facial height, providing the patient with improved aesthetics and oral function. The patient was thrilled with his renewed smile, and we are proud to have delivered this result for him.
Case 22
Before
After
Case 22
Before
After
This case involved a complete full mouth reconstruction, combining orthodontic and prosthodontic treatments, enhanced by implant dentistry. The patient received implant-supported crowns and porcelain laminate veneers following orthodontic treatment, which successfully closed the spacing in the upper front teeth. Through this integrative approach, we were able to correct the patient’s deep overbite and achieve a harmonious, aesthetically pleasing smile.
Pagination
Get a brighter smile today!
Contact us now to schedule your appointment and have the smile you've dreamed about!